כאשר למכשיר מסוג מסוים, נניח מכונת כביסה או מחשב, יש מספר חלקים קטן ופונקציות פעולה מעטות – הסיכון לתקלות ושגיאות במהלך פעולתו קטן. מאידך ככל שרבות הפונקציות והמורכבות של המכשיר – כך הסיכון לתקלות ושגיאות עולה. מחקר חדש, אשר נערך במכון ויצמן למדע בראשותו של רביב פרילוק, תלמיד מחקר בקבוצתו של פרופ’ רוני פז, והתפרסם… המשך הקריאה

מאת: עופר בן חורין. מחקר חדש, הגדול ביותר שנעשה עד כה, אשר נתוניו פורסמו בכתב העת Annals of Internal Medicine ב-5 למרץ 2019, טוען שחיסון MMR (Measles-Mumps-Rubella; חיסון חצבת-חזרת-אדמת) אינו מעלה, ולו במעט, את הסיכון לאוטיזם או מעודד התפתחות אוטיזם בילדים המועדים לכך. מדובר במחקר הגדול ביותר עד כה בתחום…לחצו להמשך קריאה המשך הקריאה

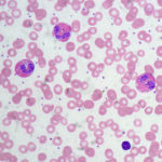
מאת: עופר בן חורין. תחום האימונותרפיה, טיפול במחלה על ידי השראה, הגברה או דיכוי של תגובה חיסונית, הינו תחום טיפולי מתפתח בתחום הריפוי ממחלות סרטן. מחקר חדש שבוצע על-ידי הדוקטורנטית הדר רייכמן, בהנחייתו של פרופ’ אריאל מוניץ מהמחלקה למיקרוביולוגיה ואימונולוגיה קלינית בבית הספר לרפואה של אוניברסיטת תל אביב, בשיתוף עם מחלקת הגסטרו בבית החולים איכילוב, והתפרסם בכתב העת Cancer Immunology Research, מצא שאאוזינופילים (סוג של תאי דם לבנים הידועים כמחוללי אלרגיות ואסתמה) יכולים להיות בעלי תפקיד חשוב בחיסול תאים ממאירים של סרטן המעי הגס…לחצו להמשך קריאה המשך הקריאה

מאת: עופר בן חורין. אוטיזם (תסמונת קנר) הינה לקות התפתחותית אשר נמצאת על פני ספקטרום, והסיבות לה, לפי סברת החוקרים, הינן תורשתית ומולדות. התסמונת מאופיינת, בין השאר, בהפרעה בדיבור, בהתנהגויות חזרתיות, בקושי ביצירת קשרים חברתיים ובנטייה להתבודד. לאחרונה, מחקר חדש של המרכז הרפואי האוניברסיטאי סורוקה ושל אוניברסיטת בן-גוריון, מעיד על כך שקנאביס רפואי הוא אפשרות טובה, בטוחה ויעילה בהקלה על הסימפטומים של הלוקים באוטיזם וביניהם: התקפים, טיקים, דיכאון, חוסר שקט והתקפי זעם…לחצו להמשך קריאה המשך הקריאה

מאת: עופר בן חורין. מחקר חדש אשר נערך על-ידי המכון לבריאות הציבור ומכון silent spring (מכון ללא מטרות רווח העוסק במחקרים הקשורים למניעת סרטן) בהנחייתה של ד”ר קלי ברונו (Katie Boronow) באוניברסיטת ברקלי בקליפורניה, ופורסם בכתב העת Journal of Exposure Science & Environmental Epidemiology , טוען שחוט דנטלי מסוג Oral-B Glide מכיל חומר כימי רעיל לאדם בשם PFAS Polyfluoroalkyl Substances…לחצו להמשך קריאה המשך הקריאה

מאת: עופר בן חורין. הוריקן פלורנס שהיכה בחוף המזרחי של ארצות הברית בספטמבר 2018 הביא לפינוים של כ-4 מיליון אמריקאים, לפגיעות בנפש ולנזק כלכלי עצום. באותו החודש הכתה סופת הטייפון מנגוט באיזור הפיליפינים ובסין והביאה להרס עצום ולנפגעים רבים בנפש. בישראל, בימים האחרונים ישנו מזג אוויר גשום וסוער, זה אמנם לא מספיק להוריקן, אבל גם הים התיכון בהחלט יכול לייצר הוריקן משלו… המשך הקריאה

מאת: עופר בן חורין. מה קורה לנו אחרי שאנחנו מתים? הרבה מאוד תיאוריות, רובן רוחניות, חלקן מדעיות, עלו בהקשרה של שאלה זו. לכל דת יש פרשנות משלה על מה שקורה לאחר המוות- מגלגול נשמות ועד תשלום על מה שעשינו בחיינו כאן והגעה לגן עדן. מאידך אנשים שאינם מחזיקים באמונות דתיות טוענים שלאחר המוות התודעה נמחקת, כמו טלוויזיה שמכבים אותה לעד. המשך הקריאה

מאת: עופר בן חורין. כשאנחנו נוסעים בכביש עירוני או בינעירוני, תשומת הלב צריכה להיות מוקדשת לדרך ולמתנהל בה בלבד, לא לדברים אחרים. שלטי חוצות, אשר נמצאים בגדלים שונים על פני גשרים, צמתים, בניינים ובכל מקום אפשרי אחר, מעצם הימצאותם, עלולים להסית את תשומת הלב של הנהגים מהדרך. מחקר חדש יחסית, אשר נעשה באוניברסיטת חיפה, גילה שבכביש עמוס התרחשויות, דווקא השלטים שגורמים לסיכויי תאונה גבוהים יותר הם השלטים  בהם יש מיעוט טקסט בפונטים גדולים, כמעט ללא תמונות, זאת בהשוואה לשלטים עמוסי טקסט ותמונות.

המחקר, אשר נערך על-ידי ד”ר הדס מרציאנו וד”ר פארלי סתר מהמוקד לארגונומיה וגורמי אנוש במכון לעיבוד מידע וקבלת החלטות (מעמק”ה) שבאוניברסיטת חיפה, בדק האם לסוגים שונים של שלטי פרסומת יש השפעה על הנהגים. במחקר נבחנו 160 שלטים, אשר חולקו לשלוש קבוצות: שלטים עמוסי גרפיקה וטקסט, שלטים כמעט ללא גרפיקה ועם מעט מאוד טקסט בפונטים גדולים, ושלטים עם מעט טקסט שמורכבים בעיקר מגרפיקה צבעונית. תחת תצוגת קבוצות שלטים אלו לנבדקים, החוקרים בדקו בניסוי ראשון…לחצו להמשך קריאה המשך הקריאה

נמליים הינה משפחה ששייכת לסדרת הדבוראים. מדובר במשפחה מצליחה יחסית אבולוציונית בזכות הארגון החברתי שלהם. כך מסוגלות הנמלים לחלק ביניהם עבודה, לתקשר ולפתור בעיות מורכבות. התקשורת של הנמלים מבוצעת בעיקר בעזרת פרומונים, חלקיקי ריח, שאותם הן משאירות על פני הקרקע כשהן מוצאים מסלול למזון. נמלים אחרות מחזקות או מחלישות את מסלול הפרומונים בהתאם לרלוונטיות שלו… המשך הקריאה

מאת: עופר בן חורין. ההכחדה ההמונית החמישית (הכחדת קרטיקון-פלאוגן), בה הושמדו בין השאר הדינוזאורים, אירעה לפני שישים ושש מיליון שנה כאשר אסטרואיד בשם צ’יקסולוב (Chicxulub) פגע בפני כדור הארץ, פיזר שכבה דקה של חרסית הכוללת יסודות שהינם נדירים בכדור הארץ…לחצו להמשך קריאה המשך הקריאה